Galerie
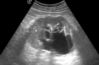
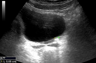
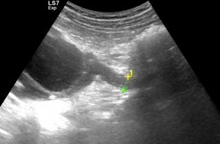
Kamica nerkowa
-
Kamica to jedno z częstszych schorzeń układu moczowego. Kamień, który wydostanie się z nerki i utknie w moczowodzie blokuje odpływ moczu powodując tzw. wodonercze oraz kolkę nerkową. W #KlinikaBulwarDedala leczymy kolki nerkowe.
Zawartość serwisu www.goldencare.pl jest chroniona prawem autorskim.